Septate Gallbladder Finding Explains Acalculous Cholecystitis: Case Report & Review of the Literature
Jubran J Al-Faifi*
Department of Surgery, College of Medicine, Imam Mohammed Ibn Saud Islamic University, Riyadh, Saudi Arabia
*Corresponding author: Jubran J Al-Faifi, Department of Surgery, College of Medicine, Imam Mohammed Ibn Saud Islamic University, Riyadh, Saudi Arabia
Received Date: 14 January, 2023
Accepted Date: 20 January, 2023
Published Date: 23 January, 2023
Citation: Al-Faifi JJ (2023) Septate Gallbladder Finding Explains Acalculous Cholecystitis: Case Report & Review of the Literature. J Surg 8: 1717. DOI: https://doi.org/10.29011/2575-9760.001717
Abstract
Background: The purpose of this article is to present a case of septate gallbladder with acalculous cholecystitis to increase the awareness of anatomical variables and anomalies related to the gallbladder especially if recognized preoperatively. By share this experience of surgical approach and reviewing the literature, surgeons as well as all clinicians could widen their differential diagnosis list.
Case Report: A 42-year-old male who has presented to the clinic due to frequent episodes of right upper quadrant abdominal pain. Since that time, he denies any episode of fever, nausea, vomiting, or any change in stool or urine color as well as no episodes of yellowish discoloration of sclera or mucus membranes. The Abdominal Ultrasound study was requested which showed thickened gall bladder wall of 8 mm and average gallbladder capacity. It also showed a septum of gallbladder at the distal body which divides the gallbladder into two parts. The patient has agreed with the plan of management of laparoscopic cholecystectomy. The procedure was uneventful laparoscopic cholecystectomy in which the initial laparoscopic assessment showed no signs of inflammation with clear anatomy of cystic duct and cystic artery. Pathology report showed that gall bladder is measuring 8.7 x 3.8 x 2.3 cm. Cut section shows Septate gall bladder with velvety mucosa.
Conclusion: Inflammation of gallbladder without evidence of gall stones (acalculous cholecystitis) could be explained, at least in this reported case, by the presence of septate gallbladder especially if shown on radiological investigations. The surgical approach to calculous cholecystitis in a septate gallbladder remains the same approach to any calculous cholecystitis while it should be justified for acalculous cholecystitis especially in critically ill patients. However, these cases are likely to be better in the hands of an experienced surgeons.
Keywords: Acalculous cholecystitis; Abdominal pain; Cholecystectomy; Gallstones; Septate gallbladder
Introduction
Acalculous cholecystitis is responsible for 2% to 15% of cases of acute cholecystitis and is diagnosed as cholecystitis without evidence of cholelithiasis (gallbladder stones) [1]. Congenital anomalies that are occurred to the extra hepatic biliary system are considered very significant in the clinical setting as they maybe associated with diagnostic and surgical problems and complications [2]. It is also associated with an increased prevalence of intraoperative bile duct injuries [3]. Separate gallbladder is not well documented in the literature review for the reason that it is usually asymptomatic or discovered incidentally during evaluation for abdominal pain [4]. Expecting and ability to recognize this type of anomaly and its different types are considering important to avoid surprises. Preoperative diagnosis plays an important role in surgical planning and prevention of potential surgical complications. We present a case report of a gentleman who accidentally discovered septate gallbladder during laparoscopic cholecystectomy, which was successfully managed. The purpose of this article is to increase the surgical community's awareness of anatomical changes and to offer intraoperative diagnosis and treatment options for those facing the procedure for the first time.
Case Report
A 42-year-old male who has presented to the clinic due to frequent episodes of right upper quadrant abdominal pain. The pain radiates to the right shoulder, and it is variable in intensity for the last 3 years. There are no specific aggravating or relieving factors. Since that time, he denies any episode of fever, nausea, vomiting, or any change in stool or urine color as well as no episodes of yellowish discoloration of sclera or mucus membranes. He was taking over counter medications for pain and did not seek any medical advice till this time when the intensity and duration of pain is markedly increased compared to the previous episodes. On physical examination, he was not febrile or jaundiced and the vital signs were within normal limits. Abdominal examination revealed non-tender abdomen without any palpable masses or organomegaly. Laboratory investigations showed normal complete blood counts without leukocytosis or neutrophilia. Liver function tests and enzymes were within normal values.
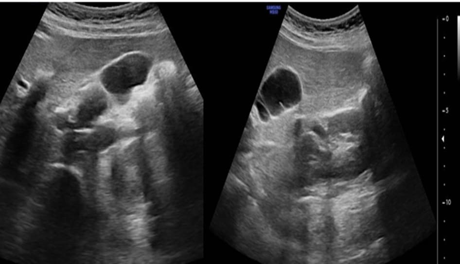
The Abdominal Ultrasound study was requested which showed thickened gall bladder wall of 8 mm and average gallbladder capacity. It also showed a septum of gallbladder at the distal body which divides the gallbladder into two parts. No stones or mud were seen while the caliber of the common bile duct was normal of 3 mm (Figure 1). Findings were discussed with the patient. The patient has agreed with the plan of management of laparoscopic cholecystectomy. The anesthesiologist preoperatively evaluated the patient then he was electively admitted and prepared for the operation. The procedure was uneventful laparoscopic cholecystectomy in which the initial laparoscopic assessment showed no signs of inflammation with clear anatomy of cystic duct and cystic artery.

Figure 1: Abdominal Ultrasound showing thickened gall bladder wall of 8 mm and average gallbladder capacity, no stones or mud were seen while the caliber of the common bile duct was normal of 3 mm.
Gall bladder was delivered out intact into an endoscopic bag (Figure 2). The specimen of gallbladder was sent in formalin to the pathology department with patient identification and file number and labeled as gall bladder. Pathology report showed that gall bladder is measuring 8.7 x 3.8 x 2.3 cm. Cut section shows Septate gall bladder with velvety mucosa. The septum was at the anatomical area of gall bladder body. No stones or mud were identified (Figure 3).

Figure 2: Gall bladder was delivered out intact into an endoscopic bag.

Figure 3: Cut section shows Septate gall bladder with velvety mucosa.
Microscopically, sections show thickened gall bladder wall with focal sloughing of mucosa. The lining epithelium is villous hyperplastic. Chronic inflammation of all layers and smooth muscle hypertrophy are seen as well. No evidence of malignancy.
Discussion
A septate gallbladder is distinguished by the existence of a septum that separates the gallbladder into two or more chambers [5]. One classification of septate gallbladder is depending on way of separation into bilobed gallbladder which occurred when septum separates the gallbladder longitudinally while when the transverse septum separates the bottom of the gallbladder from the rest of the gallbladder, it is called hourglass gallbladder [6]. The etiology of septate gallbladder is related to the results of the incomplete resolution of the solid stage of development of gallbladder which occurred before the third month of fetal development. In most cases, septate gallbladder is single however, multiseptated gallbladder have been described [7,8]. In the past, different attempts have been made to classify the anatomical differences of the gallbladder. Boyden described in 1926 vesica fellea divisa (two-sided, double gallbladder with a common neck) and vesica fellea duplex (double gallbladder with two cystic ducts). The Vesica fellea duplex was further divided into type H (two separate cystic ducts enter the common bile duct separately) and type Y (cystic ducts unite before entering the common bile duct) [9]. In 1936, birth defects were classified by Gross who classified the bivalve gallbladder as being of type A to E, indicating the locations of the accessory organ and the distribution of the cystic ducts [10]. The Harlaftis classification published in 1977 is the most comprehensive examination and widely accepted [11]. This classification distinguishes two major groups (type 1 and type 2) based on morphology and embryogenesis. In type I cystic primordium, the gallbladder divides during embryonic development and share a common cystic duct, and type II gallbladder arise from a separate primordium, which means they have separate cystic ducts [12]. Our case characterizes Harlaftis type I septate gallbladder and the septa was most possibly congenital in origin.
In a previous literature review conducted among 83 case studies of 97 patients, the age group ranged from newborns up to 84 years with median age of 23 years and the mean value of around 27 years [4]. In our analysis of 6 cases, the age ranging between newborns and up to 60 years old [13-18] (Table 1) and our case was 42 years old. Moreover, previous studies showed that the late diagnosis of septate gallstones was because of asymptomatic characters of the conditions [15,18] while the study of Terkawi R et al showed that one‐fourth of the patients were asymptomatic at the time of diagnosis [4]. Abdominal pain was the main symptoms associated with septate gallstones [13,14,16,17] which is similar to our case. Ultrasound examination was used in all patients for diagnosis which was successful in detecting septate gallstones in most of the cases [4], while laparoscopic gallbladder surgical removal was conducted in most patients. The removal of gallbladder was performed mainly in case of existing symptoms in which laparoscopic removal is considered successful and associated with low incidence of complications [13,14,16,17]. In our case, liver function tests and enzymes were within normal values. Abnormal liver function tests are reported among little cases up to 30 of the cases in report of Terkawi et al [4], therefore, physicians should not depend on the results of liver function tests in diagnosis of septate gallbladder.
|
Year of Report |
Author |
No. patients |
Age |
Gender |
Procedure |
Findings |
Symptoms |
|
2020 |
Akbari and Putra [18] |
1 |
Full-Term newborn male |
Male |
US, cyst, and gallbladder resection with hepatic duodenostomy reconstruction |
Septate gallbladder and ectopic pancreas |
No |
|
2020 |
Talalaev et al. [17] |
1 |
60 years |
Female |
US, no upper endoscopy was performed |
Multiseptated gallbladder |
Abdominal pain, nausea, and vomiting |
|
2020 |
Singh et al. [16] |
1 |
49 years |
Female |
US and upper endoscopic ultrasound evaluation |
Multiseptated gallbladder |
Abdominal pain |
|
2019 |
La Mendola et al [15] |
1 |
3 years |
Female |
US, magnetic resonance cholangiopancreatography, and laparoscopic gallbladder surgical removal. |
Multiseptated gallbladder |
No |
|
2019 |
Demko and Xhetani [14] |
1 |
6 years |
Female |
US, |
Multiseptated gallbladder |
Abdominal pain |
|
2018 |
Dousse et al. [13] |
1 |
30 years |
Female |
US, laparoscopic cholecystectomy |
Multiseptated gallbladder |
Recurrent pain |
Table 1: Some Recent Studies reported cases of septate gallbladder.
Preoperative awareness of anatomical abnormalities is of great importance. The most common and affordable diagnostic procedure for right upper quadrant pain is abdominal ultrasound. Where no abnormalities are suspected, further diagnostic procedures are not warranted, presenting a challenge for the surgeon to recognize and treat this abnormality during surgery. In this case, the use of intraoperative cholangiography illustrates the anatomy. The surgeon should also always consider switching to open surgery if in doubt. Any suspicion or sign of abnormalities of the biliary system requires further diagnostic procedures to determine the anatomy of the biliary tract. In this case, Magnetic Resonance Cholangiopancreatography (MRCP) is the method of choice because it has the highest resolution in visualizing the biliary tract. If the defect is diagnosed before surgery, then an experienced surgeon or hepatobiliary and liver surgeon should perform the operation.
Conclusion
A septate gallbladder is a rare congenital anomaly that requires special attention in presence of cholecystitis. Preoperative diagnosis is possible with experienced radiologists, who must be aware of the anatomical variables of the gallbladder beside the ability to appreciate gallstones. However, these cases are likely to be better in the hands of an experienced laparoscopic or hepatobiliary surgeon.
References
- Treinen C, Lomelin D, Krause C, Goede M, Oleynikov D (2015) Acute acalculous cholecystitis in the critically ill: risk factors and surgical strategies. Langenbeck’s Arch Surg 400: 421-427.
- Özgen A, Akata D, Arat A, Demirkazik FB, Özmen MN, et al. (1999) Gallbladder duplication: imaging findings and differential considerations. Abdom Imaging 24: 285-288.
- Botsford A, McKay K, Hartery A, Hapgood C (2015) MRCP imaging of duplicate gallbladder: a case report and review of the literature. Surg Radiol Anat 37: 425-429.
- Terkawi RS, Qutob D, Hendaus MA (2021) Understanding multiseptated gallbladder: A systematic analysis with a case report. JGH Open 5: 988-996.
- Debaibi M, Sghair A, Sridi A, Chouchen A (2022) Septate gallbladder: A rare congenital anomaly. Clin Case Reports 10.
- Singh K, Joshi AS, Khemchand AK, Sheoran H, Rabadiya P, et al. (2020) Septate gall bladder: a surgical surprise with review of literature. Int Surg J 7: 3516.
- Hakim Z, Imen BI, Abdelwahed Y, Sabeur R, Ayoub Z (2020) Acute cholecystitis in true duplication of the gallbladder. Int J Surg Open 24: 64-68.
- Öztorun Cİ, Demir R, Karakuş E, et al. (2018) Multiseptate Gallbladder, a Rare Cause of Recurrent Abdominal Pain: A Case Report and Review of the Literature. Haseki Tıp Bülteni 56: 172-174.
- Boyden EA (1926) The accessory gall-bladder- an embryological and comparative study of aberrant biliary vesicles occurring in man and the domestic mammals. Am J Anat 38: 177-231.
- Gross RE (1936) Congenital Anomalies of The Gallbladder. Arch Surg 32: 131.
- Harlaftis N, Gray SW, Skandalakis JE (1977) Multiple gallbladders. Surg Gynecol Obstet 145: 928-934.
- Skandalakis LJ, GL C, TA W, FosterJr R, AN K, et al. (2004) Surgical Anatomy: The Embryologic and Anatomic Basis of Modern Surgery. 2nd editio. Paschalidis Medical Publications 2004.
- Dousse D, Marcu L, Martini F (2018) A symptomatic multiseptate gallbladder without gallstones. Gastroenterol Hepatol Endosc 2018.
- Dogjani A, Jonuzi E, Osmanaj S, Gradica F, Celami R, et al. (2018) Management of Explosions and Blast Injuries after Gërdec Tragedy, Albania. Albanian J Trauma Emerg Surg 2: 19-24.
- La Mendola F, Fatuzzo V, Smilari P (2019) Multiseptate Gallbladder in a Child: A Possible Cause of Poor Growth? J Pediatr Gastroenterol Nutr 68: e13.
- Singh AD, Simons-Linares CR, Chahal P (2020) A Dilated Common Bile Duct with “Atypical” Gallbladder. Gastroenterology 159: e6-e7.
- Talalaev M, Tawil R, Rios H, Rey J, Zaman H, et al. (2020) Multiseptate Gallbladder in a Patient with Biliary Dyskinesia. J Gastrointest Abdom Radiol 3: S77-S79.
- Akbari A-H, Putra J (2022) Type 1 Choledochal Cyst with Ectopic Pancreas and Septate Gallbladder. Fetal Pediatr Pathol 41: 334-337.
© by the Authors & Gavin Publishers. This is an Open Access Journal Article Published Under Attribution-Share Alike CC BY-SA: Creative Commons Attribution-Share Alike 4.0 International License. Read More About Open Access Policy.