Phosphaturic Mesenchymal Tumor-induced Osteomalacia
Carlos Hofmeister1#, David Nikomarov1#, Avi Fishbein1, Daniela Militianu2, Natalia Puchkov2, Shaul Lin3,4, Afif Nakhleh5, Rostislav Novak1*
1Department of Orthopedic Surgery, Musculoskeletal Oncology Unit, Rambam Health Care Campus, 3109601, Haifa, Israel
2Department of Diagnosting Imaging, Rambam Health Care Campus, 3109601, Haifa, Israel
3The Israeli National Center for Trauma & Emergency Medicine Research, Gertner Institute, Tel Hashomer, Israel
4Department of Endodontics, Rambam Health Care Campus, 3109601, Haifa, Israel
5Institute of Endocrinology, Diabetes and Metabolism, Rambam Health Care Campus, 3109601, Haifa, Israel # these authors are equally contributing.
*Corresponding author: Rostislav Novak , Department of Orthopedic Surgery, Musculoskeletal Oncology Unit, Rambam Health Care Campus, Haifa, Israel
Received Date: 15 April, 2023
Accepted Date: 18 April, 2023
Published Date: 20 April, 2023
Citation: Hofmeister C, Nikomarov D, Fishbein A, Militianu D, Puchkov N, et al. (2023) Phosphaturic Mesenchymal Tumorinduced Osteomalacia. J Surg 8: 1792 DOI: https://doi.org/10.29011/2575-9760.001792
Abstract
Tumor Induced Osteomalacia (TIO) is a rare paraneoplastic disorder characterized by hypophosphatemia, high serum alkaline phosphatase, reduced active vitamin D, suboptimal bone mineral density, bone pain, fragility fractures, and muscle weakness. This paraneoplastic disorder is caused by secretion of Fibroblast Growth Factor 23 (FGF23). In TIO, FGF23 is secreted by mesenchymal tumors that are usually benign, but are typically very small and therefore difficult to locate. Diagnosis of this disease is often challenging. In this article we describe two clinical cases, diagnosed and treated at our institution. The two patients suffered from bone pain, severe osteoporosis and hypophosphatemia for several years. Ga68DOTANOC PET/CT was very effective in localizing the tumors. In both cases, complete tumor resection was performed, resulting in immediate normalization of FGF23, phosphorus and vitamin D. Subsequent microscopic examination revealed a phosphaturic mesenchymal tumor. The authors emphasize the importance of the diagnosis of this disease that leads to surgical removal of the causative tumor and consequently the prevention of severe disability and perhaps even death.
Background
Tumor Induced Osteomalacia (TIO) is a rare paraneoplastic syndrome, characterized by renal phosphate wasting, leading to hypophosphatemia and secondary osteomalacia. The majority are of mesenchymal origin and usually manifest as a solitary benign neoplasm. The most prevalent type of tumors that induce osteomalacia is the Phosphaturic Mesenchymal Tumor (PMT) [1]. These tumors are located mainly in the soft tissue or bones [1.2]. PMT usually appears in young people in their fourth and fifth decade of life, usually with an equal ratio among males and females (1,2-1) [2]. Clinical presentation of TIO includes bone fractures, bone and muscular pain, weight loss, and a decrease in height. Tumor induced osteomalacia was first described in 1947 by Robert McCance [1,3]. Since then, only several hundred cases of TIO have been reported in the literature. This is probably due to the difficulty in diagnosing this disease due to the lack of specific clinical signs. Recently, fibroblast growth factor 23 (FGF 23) was linked to this disease, as tumors of mesenchymal origin can produce and secrete this bone-derived hormone [3]. FGF23 is a member of the fibroblast growth factor family (phosphatonins), which participates in phosphate and vitamin D metabolism and regulation [3]. FGF23 overexpression has been shown to be responsible for hypophosphatemia and osteomalacia [4]. Another phosphatonin secreted by tumors of mesenchymal origin is FGF-7 [5], which causes a reduction of reabsorption of phosphate to the proximal renal tubule [2].
The surgical removal of PMT tumors is clinically essential for the treatment of TIO. However, identification of these tumors is often very challenging. With the development of nuclear medicine, diagnosis and tumor localization has become much more accessible. The combination of positron emission tomography (PET) and Computed Tomography (CT), using gallium-68 (68Ga)labelled somatostatin analogues (68GA-DOTATATE PET/CT), is increasingly applied to diagnose and localize tumors [1,6,7]. Once the tumor is diagnosed and localized, there are several possible types of treatment. The gold standard of treatment is complete surgical resection of the tumor which ensures removal of all the FGF23 secreting cells [3,4,6]. Other types of treatment are considered when the tumor is irresectable or when the general condition of the patient does not allow surgical intervention [1-3,6]. These types of treatment include - radiotherapy, radiofrequency ablation or suppressive chemotherapy [2,5,8,9]. In this article, we describe two cases of TIO in patients admitted to our institution, who suffered from bone pain, severe osteoporosis and hypophosphatemia for several years and had elevated serum FGF23 levels. We will elaborate on the diagnosis and treatment of this rare disease among these two patients.
Case Reports
Case 1
A 28-year-old otherwise healthy male, developed skeletal, muscular and joints pain 5 years’ prior to his arrival to our institution. The patient had no history of smoking, ethanol intake, antiseizure medication, antacid abuse, steroid use, bisphosphonates or antidiabetic medications. Due to severe low back pain, the patient was diagnosed with L5-S1 bilateral spondylolisthesis and treated with bilateral pedicle screw hook fixation (Figure 1). In spite of the treatment, the patient continued to deteriorate, he became bedridden due to severe pain and fatigue, until his referral to our institution. Upon his arrival, the radiological survey revealed a convex deformity of both his hips with subcapital fracture of the right femur (Figure 1), multiple rib and vertebrae fractures (Figure 2A), fracture of the left scapula (Figure 2B), fracture of the sternum (Figure 2C), severe pectus carinatum with thoracic and sacral kyphosis (Figure 2D). A DXA study showed severe osteoporosis (T score <-2.5) [10]. Biochemical investigations revealed a low serum phosphorus level (1.1 mg/dL) and an elevated alkaline phosphatase level (287 u/l). Serum creatinine, calcium, and albumin were found to be normal. Serum 1,25-dihydroxyvitamin D level was low (10.1pg/ml). This data led to the suspicion of TIO. As a result, we evaluated the levels of FGF23 in the blood. The plasma FGF23 levels were collected from the right and left median cubital veins and from the femoral veins and showed levels of 1802 pg/ml, 1816 pg/ml, 2319 pg/ml, and 1806 pg/ml, respectively (normal reference range: 23.2 – 95.4 pg/ml). A 68GA-DOTATATE PET/CT scan demonstrated uptake in a 2.5 cm x 1.6 cm lesion located in the right popliteal fossa. The patient was referred to the orthopedic oncology surgical unit with the diagnosis of a possible phosphaturic mesenchymal tumor. After clinical evaluation of the tumor, MRI and CT studies with contrast injection of the right knee were performed. The studies demonstrated a soft tissue lesion in the right popliteal fossa, 2.3 cm in diameter, located adjacent to the popliteal vessels, the tibial nerve and the common peroneal nerve (Figure 3). Once the dimensions and the borders of the lesion were defined and confirmed, surgical treatment was recommended. A wide resection of the tumor was performed. Histopathological examination disclosed a mesenchymal tumor, composed of spindle cells and osteoclast-like giant cells, with free surgical margins. 14 hours post-surgery, blood samples presented a normal FGF23 level (52.67 pg/ml). One-week post-surgery, the levels of serum phosphorus also returned to normal (Figure 4).

Figure 1: XRAY of the pelvis and hips demonstrating bilateral coxa vara with subcapital fracture of the right femur. Bilateral pedicle screw hook fixation can be observed due to the treatment of bilateral spondylolysis.

Figure 2: A. Axial CT demonstrating fractures (looser zones) of the posterior aspects of bilateral ribs. B. Axial CT demonstrating fracture (looser zone) of the manubrium sterni. C. Axial CT demonstrating fracture (looser zone) of the left scapula. D. Sagittal CT demonstrating dynamic changes and appearance of severe pectus carinatum with thoracic and sacral kyphosis.

Figure 3: CT with IV contrast injection demonstrating enhancement of a small soft tissue mass in the popliteal fossa of the right knee, located adjacent to the lateral aspect of the popliteal vessels and the tibial nerve and medial to the common peroneal nerve.

Figure 4: Graphical correlation of the FGF 23 values pre- and post- surgery, with an immediate normalization of the values between 23.2-95.4 RU/ml after surgery.
Case 2
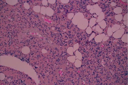
An 81-year-old man who was referred to the endocrinological clinic after he was diagnosed with osteopenia (T score of minus -1.5 in the spine and minus -1.2 in the femur). Five years previously, he was treated by a family physician with alendronate, vitamin D and calcium. He was referred to orthopedic consultation due to intense left hip pain. Upon his arrival he underwent physical examination and pelvic computed tomography (CT), which did not show any pathological findings. Medical history did not disclose any chronic diseases or hereditary bone disease apart from the history of bullet shrapnel fragments in different parts of his body which were the result of past military injuries. Laboratory results disclosed normal calcium levels 9.9 mg/dl (normal range 8.810.20 mg/dl) low phosphorus 2.10 mg/dl (normal range 2.5-5 mg/dl) and mild elevated alkaline phosphatase 144 U/L (normal range 30-120 U/L), 25 hydroxy vitamin D test results were normal, 121 nmol/l (normal range 39-160 pmol/l). The clinical findings which revealed low phosphorus levels and elevated alkaline phosphatase levels, raised our suspicion regarding TIO. FGF23 levels in the blood were elevated to 150.8 pg/ml (normal range 23.2- 95.4 pg/ml). Repeated 24-hour urine phosphate collection disclosed relatively high phosphate excretion 959 mg/24h (normal range 400-1300 mg/dl) (Figure 6). Imaging with 68Gallium DOTANOC PET/CT revealed pathologic uptake in the upper aspect of the left shoulder adjacent to the coracoid process. No mediastinal or axillary lymphadenopathy was observed (Figure 5). The patient was referred to the orthopedic surgical department, due to suspected phosphaturic mesenchymal tumor. Since an MRI could not be performed, because of the remaining bullet fragments in the body, the tumor and its anatomical position were evaluated by an ultrasound examination. After the evaluation, the patient underwent wide resection of the tumor. Histopathological examination of the tumor disclosed fat tissue with proliferation of bland spindle cells with numerous blood vessels, amorphous matrix deposition and several calcifications without atypia and mitosis, with free surgical margins. These findings were consistent with a benign phosphaturic mesenchymal tumor (Figure 7). Three months post-surgery, phosphorus levels and a 24-hour phosphorus collection were normalized.

Figure 5: 68Gallium DOTANOC PET/CT demonstrating a small soft tissue nodule with pathologic uptake situated adjacent to the superoanterior aspect of the coracoid process (arrow).

Figure 6: Chart with the initial results the patient’s first clinical examination performed by the orthopedist at our institution.

Figure 7: Microscopic pathological view of the tumor, displaying fat tissue with proliferation of bland spindle cells, numerous blood vessels, amorphous matrix deposition and several calcifications without atypia or mitosis.
Discussion
Tumor-Induced Osteomalacia (TIO) is a rare paraneoplastic syndrome with clinical manifestations of myopathy, bone pain, and fractures and characterized by renal phosphate wasting and hypophosphatemia [6]. TIO is commonly localized in the extremities, but can involve any region of the body [11]. In the majority of the cases, tumors of mesenchymal origin are localized in the soft tissue (65%), or in the bones (30%) [4,6,11]. Studies have shown that 56% of these tumors are found in the lower extremities and 31% are found in the head [4,11]. When TIO is suspected, laboratory evaluation should be performed. Hypophosphatemia, hyperphosphaturia, low levels of vitamin D and increased levels of alkaline phosphatase are non-specific but representative signs of the disease [1,6]. The diagnosis is based on the elevation of blood levels of Fibroblast Growth Factor 23 (FGF23) [1]. The pathophysiology of TIO is based on the influence of FGF23 on the renal function. When increased, FGF23 inhibits the proximal tubular reabsorption of phosphate and as a result causes hyperphosphaturia [12]. FGF23 also directly inhibits 1α-hydroxylase expression, thereby inhibiting the activation of 25-hydroxyvitamin D to 1,25-dihydroxyvitamin D. Low levels of 1,25-dihydroxyvitamin D leads to decreased intestinal absorption of phosphate [1,3,6,13]. FGF23-producing mesenchymal tumors are often benign and small lesions, therefore the identification and localization of the tumor remains challenging [13]. For further evaluation, various imaging modalities have been employed, including bone scanning, MRI, CT, Indium-111 pentetreotide, octreotide scintigraphy, and PET [2,13]. In most cases, mesenchymal tumors, similar to other neuroendocrine tumors, express somatostatin receptors (SSR). For this reason, 68Ga-DOTANOC PET/CT has been shown to be very useful and helpful in the diagnosis and localization of TIO tumors [8] with a sensitivity rate of 90% and a specificity rate of 82% in tumor evaluation [14]. The study should include the whole body, from head to toes, in order to be able to diagnose lesions that are located in the extremities or head.
In the past, marginal resection of tumors of mesenchymal origin was the accepted treatment. However, in the majority of cases, local recurrence and TIO relapse were observed. Therefore, today wide resection of the tumor with negative surgical margins is the standard of care [2]. Soft tissue tumors usually have clear boundaries and are well-encapsulated. In these cases, clear surgical margins can be easily achieved. However, in other cases, tumors can involve the bone or are localized in high proximity to the neurovascular bundle. In such cases, curettage, partial ostectomy and even amputation of the limb might be considered [1,3,6,8,15]. In some conditions, when surgery is not possible, radiofrequency ablation, radiation or suppressive chemotherapy can be considered as well [2,4,5,8,9,14,16-19]. According to our own personal experience and according to the literature, complete tumor resection results in immediate normalization of FGF23 and later, the levels of phosphorus and vitamin D rise to the normal levels as well [13]. Incomplete normalization of serum phosphorus levels during the first weeks after surgery, will indicate that the tumor was incompletely resected, or there is a second tumor that was not yet identified [1,3]. If the disease is diagnosed in an early stage, and no irreversible changes have occurred, the mineralization of the bones will return to the original state. With complete tumor resection, the prognosis is extremely good and the patient can be considered to be completely cured [19].
Conclusions
TIO is a rare and devastating disease which can be easily misdiagnosed. Once suspected, appropriate laboratory tests should be performed. In both our cases, the correct diagnosis was significantly delayed and as a result the patients developed osteoporosis, pathologic fractures and extreme muscle weakness. Consequently, with the appearance of symptoms, TIO should always be included in the differential diagnosis. Wide resection is the treatment of choice and is necessary for complete cure of the disease.
References
- Dadoniene J, Miglinas M, Miltiniene D (2016) Tumour-induced osteomalacia: a literature review and a case report. World J Surg Oncol 14: 4.
- Sun ZJ, Jin J, Qiu GX, Gao P, Liu Y (2015) Surgical treatment of tumor-induced osteomalacia: a retrospective review of 40 cases with extremity tumors. BMC Musculoskelet Disord 16: 43.
- Minisola S, Peacock M, Fukumoto S (2017) Tumour-induced Nat Rev Dis Primers 3: 17044.
- Fukumoto S (2014) Diagnostic Modalities for FGF23-Producing Tumors in Patients with Tumor-Induced Osteomalacia. Endocrinol Metab Seoul 29: 136-143.
- Carpenter TO, Ellis BK, Insogna KL, Philbrick WM, Sterpka J (2005) Fibroblast growth factor 7: an inhibitor of phosphate transport derived from oncogenic osteomalacia-causing tumors. J Clin Endocrinol Metab 90: 1012-1020.
- Shustik DA, Ng DC, Sittampalam K (2015) hosphaturic mesenchymal tumour mixed connective tissue variant: report of three cases with unusual histological findings. Int J Clin Exp Pathol 8: 7506-7517.
- Barrera CA, Karp J, Kearns C, Rhodes NG (2023) Phosphaturic Mesenchymal Tumor. Radiographics 43: e220185.
- Drezner MK (2001) Tumor-induced osteomalacia. Rev Endocr Metab Disord 2:175-186.
- Dahir K, Zanchetta MB, Stanciu I (2021) Diagnosis and Management of Tumor-induced Osteomalacia: Perspectives From Clinical J Endocr Soc 5: bvab099.
- Siris ES, Adler R, Bilezikian J (2014) The clinical diagnosis of osteoporosis: a position statement from the National Bone Health Alliance Working Group. Osteoporos Int 25:1439-1443.
- Kawai S, Ariyasu H, Furukawa Y (2017) Effective localization in tumor-induced osteomalacia using 68Ga-DOTATOC-PET/CT, venous sampling and 3T-MRI. Endocrinol Diabetes Metab Case Rep 2017: 16-0005.
- Bergwitz C, Juppner H (2010) Regulation of phosphate homeostasis by PTH, vitamin D, and FGF23. Annu Rev Med 61: 91-104.
- Torguet-Escuder P, Guasch-Aragay B, Calabia-Martinez J (2012) Fibroblast growth factor 23 FGF 23 and phosphocalcic metabolism in chronic kidney disease. Nefrologia 32: 647-654.
- Arnold R, Chen YJ, Costa F (2009) ENETS Consensus Guidelines for the Standards of Care in Neuroendocrine Tumors: follow-up and Neuroendocrinology 90: 227-233.
- Higley M, Beckett B, Schmahmann S, Dacey E, Foss E (2015) Locally aggressive and multifocal phosphaturic mesenchymal tumors: two unusual cases of tumor-induced osteomalacia. Skeletal Radiol 4: 1825-1831.
- Bhavani N, Reena Asirvatham A, Kallur K (2016) Utility of Gallium-68 DOTANOC PET/CT in the localization of Tumour-induced Clin Endocrinol Oxf 84: 134-140.
- Harbeck B, Schocklmann H, Seekamp A, Czech N, Monig H (2009) Tumor-induced osteomalacia: successful treatment by radio-guided tumor surgery. J Clin Rheumatol 15: 31-34.
- Hesse E, Rosenthal H, Bastian L (2007) Radiofrequency ablation of a tumor causing oncogenic osteomalacia. N Engl J Med 357: 422-424.
- Liu S, Guo R, Simpson LG, Xiao ZS, Burnham CE ( 2003) Regulation of fibroblastic growth factor 23 expression but not degradation by J Biol Chem 278: 37419-37426.
© by the Authors & Gavin Publishers. This is an Open Access Journal Article Published Under Attribution-Share Alike CC BY-SA: Creative Commons Attribution-Share Alike 4.0 International License. Read More About Open Access Policy.