Malignant Hypertension in Congenital Adrenal Hyperplasia with 21- Hydroxylase Deficiency: A Case Report
by Jin Woo Jeong1,†, Tae Yang Yu1,2,†, Se Eun Ha2, Rajan Singh2, Sang Hak Yi3, Moon Young Lee4, Seungil Ro2,5*
1Division of Endocrinology and Metabolism, Department of Medicine, Wonkwang University School of Medicine, Iksan, Jeollabuk-do, Republic of Korea
2Department of Physiology and Cell Biology, University of Nevada School of Medicine, Reno, Nevada, USA
3Department of Neurology, Wonkwang University School of Medicine, Iksan, Jeollabuk-do, Republic of Korea
4Department of Physiology, Wonkwang University School of Medicine, Wonkwang Digestive Disease Research Institute & Institute of Wonkwang Medical Science, Iksan, Jeollabuk-do, Republic of Korea
5RosVivo Therapeutics, Applied Research Facility, 1664 N. Virginia St., Reno, Nevada, USA
†These authors contributed equally to the work
*Corresponding author: Seungil Ro, Department of Physiology and Cell Biology, University of Nevada School of Medicine, Reno, Nevada, USA
Received Date: 27 June 2024
Accepted Date: 02 July 2024
Published Date: 04 July 2024
Citation: Jeong JW, Yu TY, Ha SE, Singh R, Yi SH, et al (2024) Malignant Hypertension in Congenital Adrenal Hyperplasia with 21- Hydroxylase Deficiency: A Case Report. Ann Case Report. 9: 1866. https://doi.org/10.29011/2574-7754.101866
Abstract
Congenital adrenal hyperplasia (CAH) should be considered in patients presenting with hypertension. CAH is mainly associated with deficiencies in 11β, 17α, and 21-hydroxylases. While deficiencies in 11β and 17α-hydroxylases are known to induce secondary hypertension, the association with 21-hydroxylase deficiency (21-OHD) is extremely rare. We present a case of a 60-year-old woman with an episode of seizures due to malignant hypertension. She was diagnosed with nonclassic CAH induced by 21-OHD, leading to malignant hypertension. Through treatment with both antihypertensive medications and hydrocortisone supplements, her blood pressure and laboratory results improved significantly. In conclusion, it is important to consider 21-OHDinduced nonclassic CAH as a possible genetic cause of secondary hypertension.
Keywords: Congenital adrenal hyperplasia; 21-hydroxylase deficiency; Secondary hypertension.
Introduction
The prevalence of secondary hypertension accounts for 5–10% of the general hypertensive population [1]. Although genetic causes of secondary hypertension are rare, it is crucial to identify them for initiating appropriate treatment [2]. Among these genetic causes, several forms of inherited steroidogenic defects known collectively as congenital adrenal hyperplasia (CAH) should be considered in patients presenting with hypertension. CAH as genetic causes of secondary hypertension typically result from 11β-hydroxylase (mutations in CYP11B1) and 17α-hydroxylase (mutations in CYP17) deficiencies, presenting an excessive mineralocorticoid effect [3,4]. More than 95% of CAH are caused by mutations in CYP21A2, which encodes adrenal steroid 21-hydroxylase [5,6]. However, hypertension associated with CAH induced by 21-hydroxylase deficiency (OHD) is uncommon. Moreover, malignant hypertension associated with CAH induced by 21-OHD is extremely rare. We present a case of malignant hypertension in a patient with nonclassic CAH resulting from 21-OHD. The patient was successfully treated with antihypertensive agents and hydrocortisone replacement therapy.
Case Presentation
A 60-year-old woman with no known prior medical or family history presented to the emergency department after experiencing a seizure incident. The seizure began with sudden loss of consciousness, followed by generalized muscle stiffening (tonic phase) and jerking (clonic phase), indicative of a generalized tonic-clonic seizure. The seizure episode occurred after vomiting, lasted approximately one minute, and resolved spontaneously. On arrival, her blood pressure measured 204/107 mmHg, heart rate was 118 beats/min, respiratory rate was 26 breaths/min, and body temperature was 38.0°C. She was alert with no focal neurologic deficits. Physical examination revealed mild motor weakness in both upper and lower extremities, graded at 4+/5, with no sensory deficits. The remainder of the neurologic examination was unremarkable. Her skin color exhibited overall brown coloration with hyperpigmentation on her lips. Examination of the external genitalia revealed typical female characteristics.
Laboratory examinations
Initial laboratory studies identified the presence of hypoosmolar hyponatremia and significant proteinuria with no signs of renal failure. Biochemical test results were as follows: serum osmolality 245 mOsm/kg, sodium 120 mEq/L, potassium 4.5 mEq/L, calcium 9.5 mg/dL, creatinine 0.62 mg/dL, and blood urea nitrogen 14.0 mg/dL. Spot urine analyses showed: urine protein 1199.9 mg/dL, albumin 851.6 mg/dL, sodium 105 mEq/L, potassium
49.7 mEq/L, chloride 81 mEq/L, and osmolality 497 mOsm/kg. Further laboratory studies, including hormonal examinations, revealed hyperreninemic hyperaldosteronism, glucocorticoid deficiency, and elevated vasopressin levels. Specific results included: renin activity 69.09 ng/mL/h (reference range: 0.60– 4.18 ng/mL/h), aldosterone 95.54 ng/dL (reference range: 3–16 ng/dL, in supine position), adrenocorticotropic hormone (ACTH) 730 pg/mL (reference range: 7.2–63.3 pg/mL), cortisol 11.70 μg/ dL (reference range: 2.47–18.4 μg/dL), and ADH 19.3 pg/mL (reference range: 1–5 pg/mL). All extensive laboratory tests for secondary hypertension, including thyroid function test, were within normal ranges.
Imaging examinations
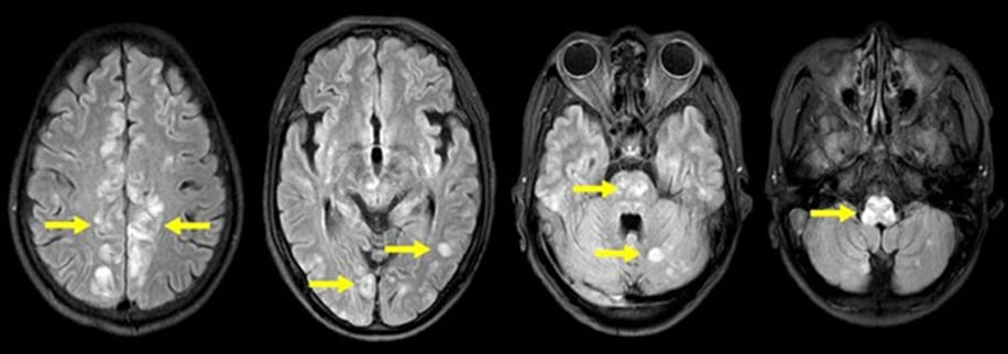
The initial brain computerized tomography (CT) scan showed no acute intracranial anomalies. Fluid-attenuated inversion recovery (FLAIR) imaging on magnetic resonance imaging (MRI) revealed bilateral multifocal high-intensity lesions in both cerebral hemispheres, along with high-intensity lesions in the brainstem and cerebellum (Figure 1). These findings, combined with neurological manifestations and severe hypertension, though atypical, raise the possibility of posterior reversible encephalopathy syndrome (PRES). Based on the laboratory results, abdomen and pelvis computed tomography (CT) scans were performed to investigate potential causes of secondary hypertension and adrenal gland abnormalities. The CT scan revealed diffuse bilateral adrenal glands enlargement (Figure 2). Furthermore, renal duplex ultrasound showed a normal hemodynamic pattern without evidence of renal artery stenosis.
Further diagnostic examinations
Given the clinical findings for both adrenal glands hyperplasia presenting with glucocorticoid deficiency but no mineralocorticoid deficiency, additional studies were conducted to assess adrenal gland steroid synthesis and investigate for CAH. As shown in Table 1, the progesterone and 17α-hydroxyprogesterone (17-OHP) levels were significantly increased, indicating impaired aldosterone and cortisol biosynthesis. The elevated basal progesterone and 17-OHP levels strongly indicated 21-OHD as 21-hydroxylase catalyzes the conversion of progesterone and 17-OHP to deoxycorticosterone and 11-deoxycortisol, respectively (5). Consequently, genetic testing confirmed CAH caused by 21-OHD and identified specific mutations in the CYP21A2 gene: heterozygous mutations in intron 2 (c.293-13C>G) and 518T>A (p.Ile173Asn). Ultimately, we conclusively diagnosed nonclassic CAH caused by 21-OHD in the patient with malignant hypertension.
Treatment
The patient initially received intravenous nicardipine to lower blood pressure (at an initial infusion rate of 5 mg per hour). Additionally, 30 mg of hydrocortisone was administrated to suppress ACTH production and vasopressin synthesis. Once the blood pressure stabilized, we transitioned to oral telmisartan 80 mg and amlodipine 5 mg. As hormone levels, including ACTH and aldosterone, gradually decreased, blood pressure also decreased (Table 2 and Figure 3). With continued treatment comprising hydrocortisone supplementation and antihypertensive medications, the patient successfully achieved improved blood pressure control alongside decreased serum ACTH and aldosterone levels.

Figure 1: Fluid attenuated inversion recovery (FLAIR) images on brain magnetic resonance imaging (MRI). FLAIR images reveal multifocal high-intensity lesions suggestive of vasogenic edema in the brainstem and cerebellum, accompanied by medullary bulging. Gyral swelling is evident bilaterally in the cerebral hemispheres. These findings are indicative of hypertensive encephalopathy, potentially resembling the atypical variant of posterior reversible encephalopathy syndrome (PRES). Yellow arrows highlight the identified lesions.

Figure 2: A reprehensive transverse abdomen-pelvic computed tomography (CT) scan image showing bilateral adrenal glands hyperplasia (yellow arrows).

Figure 3: Decreased blood pressure of the patient after hydrocortisone treatment. SBP, Systolic blood pressure; DBP, diastolic blood pressure; HD, hospital day.

Figure 4: The pathways of adrenal steroidogenesis in congenital adrenal hyperplasia (CAH) with 21-hydroxylase deficiency, distinguishing between classic CAH (A) and nonclassic CAH (B). In classic CAH, deficiency of 21-hydroxylase (21-OH) leads to decreased levels of cortisol and aldosterone, accompanied by elevated testosterone levels. Conversely, nonclassic CAH exhibits partial preservation of 21-OH enzymatic activity, allowing for continued secretion of cortisol and aldosterone. Thicker arrows with + denote enhanced alternative or backdoor pathways while X marks blocked pathways. OH, hydroxylase; HSD, hydroxysteroid dehydrogenase; DHAE, dehydroepiandrosterone.
|
Items |
Values |
Reference ranges |
|
DHEA-S |
226.7 |
26.8–375.4 μg/dL |
|
17-KS |
26.6 |
7–20 mg/day in urine |
|
Testosterone |
1.05 |
0.1–0.75 ng/mL in women |
|
Progesterone |
40.80 |
<1 ng/mL (in postmenopausal women) |
|
17-OHP |
32,234 |
11–108 ng/dL |
|
DHEA-S, dehydroepiandrosterone sulfate; 17-KS, 17-ketosteroids; 17-OHP, 17α- hydroxyprogesterone. |
||
Table 1: Summary of hormonal examination results.
|
Hormones |
HD1 |
HD2 |
HD5 |
HD7 |
HD9 |
HD11 |
Reference ranges |
|
ACTH (pg/mL) |
730.0 |
469.0 |
242.6 |
97.0 |
84.3 |
32.7 |
7.2–63.3 |
|
Cortisol (μg/dL) |
11.70 |
7.44 |
2.57 |
2.68 |
36.7 |
0.84 |
2.47–18.4 |
|
Aldosterone (ng/dL) |
95.54 |
166.43 |
N/A |
N/A |
66.78 |
23.64 |
3–16 (supine) |
|
ACTH, adrenocorticotropic hormone; HD, hospital day. |
|||||||
Table 2: Hormonal examination results after hydrocortisone treatment.
Discussion
CAH includes a group of autosomal recessive disorders that affect adrenal steroidogenesis. The most common form, 21-OHD, arises from mutations in the 21-hydroxylase gene (CYP21A2), accounting for over 95% of CAH [5,6]. The mutations in the CYP21A2 disrupt glucocorticoid and mineralocorticoid synthesis, leading to reduced negative feedback on the hypothalamic-pituitary-adrenal axis. Consequently, overproduction of ACTH stimulates adrenal cortex hyperplasia and increases androgen production [7,8]. In individuals with 21-OHD, serum cortisol and aldosterone levels are typically decreased or inappropriately normal, while androgen levels are elevated [5]. There are two primary forms of CAH induced by 21-hydroxylase deficiency: classic and nonclassic. The steroidogenic pathways of classic CAH are summarized in Figure 4A. Classic CAH resulting from 21-OHD is subdivided into two phenotypes: ‘salt-wasting’ and ‘simple-virilizing’ forms. The ‘salt-wasting’ form of CAH is more severe, accounting for approximately 75% of classic CAH cases [7]. Patients with this form are typically identified during the neonatal period or early infancy due to adrenal insufficiency and salt-wasting by severe enzyme deficiency. Alternatively, they may present in the first few years of life with virilization. In the less severe “simple-virilizing” form, a salt-wasting crisis does not occur because of low but detectable enzyme activity [7]. Females with both forms of classic CAH often have ambiguous genitalia [8]. Figure 4B illustrates the steroidogenic pathways of nonclassic CAH, which represents the mildest form of the disorder. Unlike classic CAH, nonclassic CAH is characterized by relatively preserved enzymatic activity of 21-hydroxylase [9]. As a result, individuals with nonclassic CAH typically do not experience salt wasting and affected females do not present with ambiguous genitalia [10].
We identified compound mutations, c.293-13C>G and 518T>A (p.Ile173Asn) in CYP21A2, which are less common in nonclassic CAH. Previous studies have shown that patients with these compound heterozygous mutations exhibit phenotypic variability (nonclassic: simple virilizing: salt wasting = 1:36:13) [11]. To gain a deeper understanding of the genotype-phenotype correlations in these compound mutations, further studies are needed to confirm the roles of these mutations. The intriguing aspect in our case is that, although the patient was diagnosed with nonclassic CAH due to 21-OHD, she presented with hyperaldosteronism, leading to malignant hypertension. In this form, the enzymatic activity of 21-hydroxylase is approximately 20 to 50% of normal levels [9]. Consequently, the capacity for aldosterone secretion can be preserved in some patients with nonclassic CAH due to 21OHD. There are three possible explanations for elevated serum aldosterone levels in CAH due to 21-OHD in nonclassic CAH. First, the overproduction of aldosterone could be a direct biochemical consequence of the excess precursor molecules. In 21-OHD, decreased cortisol production leads to increased ACTH secretion. ACTH then stimulates the production of precursor molecules such as progesterone and 17-OHP. If the pathways from progesterone to aldosterone are not fully impaired due to incomplete 21-OHD, the overproduction of progesterone can eventually lead to increased aldosterone production due to the abundance of precursors [12]. Second, the excessive production of progesterone and 17-OHP can antagonize the effects of aldosterone at the receptor level, leading to sodium loss. This relative sodium depletion then triggers a compensatory overproduction of aldosterone [12,13]. Finally, glucocorticoids are essential for the maximal suppression of vasopressin synthesis in the hypothalamus [14]. Experimental studies suggest that glucocorticoid deficiency increases the levels of vasopressin, which upregulates the vasopressin-regulated aquaporin 2 water channel, AQP2 [15]. The increased serum vasopressin levels might be linked to the nonosmotic stimulation of vasopressin secretion. Volume depletion, caused by pressureinduced glomerular hyperfiltration, fails to suppress vasopressin synthesis due to glucocorticoid deficiency, leading to relative sodium depletion and subsequently triggering overproduction of aldosterone.
Consequently, these mechanisms activate the renin-angiotensinaldosterone system (RAAS). The severe elevation of blood pressure triggers RAAS activation through microvascular damage and renovascular ischemia. The resulting increased production of angiotensin II further elevates blood pressure, ultimately leading to malignant hypertension, which is believed to be triggered by this series of processes [16].
Conclusion
We described a rare case of malignant hypertension in a female patient with nonclassic CAH due to 21-OHD. Despite a deficiency in glucocorticoid synthesis, her mineralocorticoid synthesis was relatively preserved. She exhibited hyperaldosteronism, induced by various mechanisms, which contributed to the malignant hypertension. This report is significant as it highlights CAH induced by 21-OHD as a rare genetic factor in the etiology of secondary hypertension, presenting an intriguing subject for further study.
Author contributions: Conceptualization, M.Y.L., S.R.; data curation, J.W.J., S.E.H., R.S., S.H.Y.; methodology, S.E.H., R.S.; supervision, S.R.; writing – original draft, J.W.J., T.Y.Y.; and writing – review & editing, T.Y.Y., S.R.
Funding: This study was supported by Wonkwang University in 2022.
Conflicts of Interest: None.
References
- Rimoldi SF, Scherrer U, Messerli FH. (2014) Secondary arterial hypertension: when, who, and how to screen? Eur Heart J. 35:124554.
- Burrello J, Monticone S, Buffolo F, Tetti M, Veglio F, et al. (2017) Is There a Role for Genomics in the Management of Hypertension? Int J Mol Sci. 18.
- Hinz L, Pacaud D, Kline G. (2018) Congenital adrenal hyperplasia causing hypertension: an illustrative review. J Hum Hypertens. 32:1507.
- Khattab A, Haider S, Kumar A, Dhawan S, Alam D, et al. (2017) Clinical, genetic, and structural basis of congenital adrenal hyperplasia due to 11beta-hydroxylase deficiency. Proc Natl Acad Sci U S A. 114:E1933-E40.
- Merke DP, Auchus RJ. (2020) Congenital Adrenal Hyperplasia Due to 21-Hydroxylase Deficiency. N Engl J Med. 383:1248-61.
- Speiser PW, Arlt W, Auchus RJ, Baskin LS, Conway GS, et al. (2018) Congenital Adrenal Hyperplasia Due to Steroid 21-Hydroxylase Deficiency: An Endocrine Society Clinical Practice Guideline. J Clin Endocrinol Metab. 103:4043-88.
- Speiser PW, White PC. (2003) Congenital adrenal hyperplasia. N Engl J Med. 349:776- 88.
- White PC, Speiser PW. (2000) Congenital adrenal hyperplasia due to 21-hydroxylase deficiency. Endocr Rev. 21:245-91.
- Tusie-Luna MT, Traktman P, White PC. (1990) Determination of functional effects of mutations in the steroid 21-hydroxylase gene (CYP21) using recombinant vaccinia virus. J Biol Chem. 265:2091622.
- Carmina E, Dewailly D, Escobar-Morreale HF, Kelestimur F, Moran C, et al. (2017) Non-classic congenital adrenal hyperplasia due to 21-hydroxylase deficiency revisited: an update with a special focus on adolescent and adult women. Hum Reprod Update. 23:580-99.
- New MI, Abraham M, Gonzalez B, Dumic M, Razzaghy-Azar M, et al. (2013) Genotype-phenotype correlation in 1,507 families with congenital adrenal hyperplasia owing to 21-hydroxylase deficiency. Proc Natl Acad Sci U S A. 110:2611-6.
- Bartter FC, Henkin RI, Bryan GT. (1968) Aldosterone hypersecretion in “non-salt-losing” congenital adrenal hyperplasia. J Clin Invest. 47:1742-52.
- Boddu SK, Madhavan S. (2017) High aldosterone and cortisol levels in salt wasting congenital adrenal hyperplasia: a clinical conundrum. J Pediatr Endocrinol Metab. 30:1327-31.
- Kim JK, Summer SN, Wood WM, Schrier RW. (2001) Role of glucocorticoid hormones in arginine vasopressin gene regulation. Biochem Biophys Res Commun. 289:1252- 6.
- Wang W, Li C, Summer SN, Falk S, Cadnapaphornchai MA, et al. (2006) Molecular analysis of impaired urinary diluting capacity in glucocorticoid deficiency. Am J Physiol Renal Physiol. 290:F1135-42.
- van den Born BJ, Koopmans RP, van Montfrans GA. (2007) The reninangiotensin system in malignant hypertension revisited: plasma renin activity, microangiopathic hemolysis, and renal failure in malignant hypertension. Am J Hypertens. 20:900-6.
© by the Authors & Gavin Publishers. This is an Open Access Journal Article Published Under Attribution-Share Alike CC BY-SA: Creative Commons Attribution-Share Alike 4.0 International License. Read More About Open Access Policy.