Late Recurrence after Successful Radiofrequency Ablation for Barrett’s Neoplasia: A Case Report
J.M. Louwers (Jonas)1, I.N. Beaufort (Ilse)1,2, G.M. Raicu (Mihaela)3, B.L.A.M. Weusten (Bas)1,2*
1 Department of Gastroenterology and Hepatology, University Medical Center Utrecht, Utrecht University, the Netherlands
2 Deparment of Gastroenterology and Hepatology, St. Antonius Hospital, Nieuwegein, the Netherlands
3 Department of Pathology, St. Antonius Hospital, Nieuwegein, the Netherlands
*Corresponding author: B.L.A.M. Weusten, St. Antonius Hospital, Koekoekslaan 1, 3435 CM Nieuwegein, the Netherlands
Received Date: 20 July, 2022
Accepted Date: 05 August, 2022
Published Date: 11 August, 2022
Citation: Louwers (Jonas) JM, Beaufort (Ilse) IN, Raicu (Mihaela) GM, Weusten (Bas) BLAM (2022) Late Recurrence after Successful Radiofrequency Ablation for Barrett’s Neoplasia: A Case Report. J Dig Dis Hepatol 6: 180. DOI: https://doi.org/10.29011/2574-3511.100080
Abstract
Radiofrequency ablation (RFA) preceded by endoscopic resection of visible lesions is the current standard of care for patients with early neoplastic Barrett’s esophagus (BE). Neoplastic recurrences after successful endoscopic treatment are rare, and the incidence of recurrence is highest in the first years of follow-up. However, studies evaluating long-term durability of endoscopic treatment in BE are lacking, with only few studies exceeding a median follow-up time of five years. Hereby we report on a case with a neoplastic recurrence 12 years after successful endoscopic treatment of dysplastic BE with RFA. The knowledge that neoplastic recurrences can occur even after more than a decade of initial treatment stresses the importance of long-term endoscopic follow-up with detailed inspection of the neosquamous mucosa.
Keywords : Barrett’s esophagus; Endoscopic treatment; RFA; Recurrence; Case report Abbreviations: APC: Argon plasma coagulation; BE:Barrett’s esophagus; CE-IM: Complete eradication of intestinal metaplasia; EAC: Esophageal adenocarcinoma; HGD: High-grade dysplasia; LGD: Low-grade dysplasia; RFA: Radio frequency ablation
Introduction
Barrett’s esophagus (BE) is a condition of the distal esophagus characterized by the conversion of stratified squamous epithelium into gastric cardia type epithelium with specialized intestinal metaplasia. These metaplastic changes are thought to be caused by chronic gastroesophageal reflux. BE is a known precursor for esophageal adenocarcinoma (EAC), which comprises approximately two-thirds of esophageal cancer in Western countries [1]. Early detection and treatment of EAC in BE is of the utmost importance since it enables endoscopic treatment strategies with an excellent prognosis [2].
In the current guidelines, radiofrequency ablation therapy (RFA) preceded by resection of visible lesions, is the primary endoscopic treatment modality for dysplasia and early-stage EAC [3,4]. After complete eradication of intestinal metaplasia (CE-IM) is reached, periodic surveillance is advised to monitor the possible recurrence of BE. Neoplastic recurrences after CE-IM is reached are rare [5,6], and are mostly discovered during the first years of follow-up [7].
Discordant to these findings, we present a case with to the best of our knowledge, the latest neoplastic recurrence after successful endoscopic treatment of dysplastic BE with RFA.
Case Report
In November 2008, a seventy-two-year-old male was referred to our Barrett Expert Center for an imaging gastroscopy because of BE with suspected dysplasia on random biopsy. A C0M3 BE segment, according to the Prague classification [8], was seen alongside a hiatal hernia of 3 cm (Figure 1). No suspicious lesions were detected during the imaging endoscopy. Random biopsies were evaluated by two expert pathologists and revealed intestinal metaplasia with high-grade dysplasia (HGD).

Figure 1: Baseline endoscopy. C0M3 Barrett’s oesophagus.
The patient was treated for flat HGD with two focal RFA sessions in the context of the EURO-2 trial [9]. The Barrx-90 ablation device was used for the double-double 15 J/cm2 ablation regime: two applications of 15 J/cm2 followed by cleaning of the ablation zone and two additional applications of radiofrequency energy. No complications occurred. Esomeprazole 40 mg b.i.d. was prescribed for chronic use.
In May 2009, two months after the last RFA session, a followup gastroscopy was performed. Complete eradication of dysplasia and intestinal metaplasia upon visual and histological evaluation was achieved.
Subsequent follow-up endoscopies were scheduled at six months, then annually for five years, thereafter once every 2 years.
Throughout the first seven years of endoscopic surveillance, no reappearance of BE mucosa was seen. Biopsies taken just below the neo-squamocolumnar junction and from the neosquamous epithelium in the distal esophagus – routinely obtained on all endoscopies during the first five years of follow-up – showed no recurrence of intestinal metaplasia or dysplasia.
In October 2016, endoscopy showed a small island of Barrett’s epithelium 1 cm above the z-line (Figure 2). A biopsy was taken, showing BE with histologically confirmed low-grade dysplasia (LGD). Endoscopic follow-up was intensified, but in subsequent endoscopies thorough inspection and treatment were hampered by severe reflux esophagitis.

Figure 2: Images obtained during follow-up endoscopies. In 2009, complete eradication of BE was seen. Gastroscopies from 2010 until 2014 did not show reappearance of BE. In 2016 a small island (indicated with arrow) of BE with histologically confirmed low-grade dysplasia was seen. Visualization was hampered by severe reflux esophagitis in 2017.
In February 2018, after therapy with a high dose of proton pump inhibitors, the previously identified BE island lesion was treated with argon plasma coagulation (APC) (ERBE ICC200: 40 Watt – cleaning of the debris – second hit with 40 Watt) in the same session (Figure 3). During the subsequent follow-up endoscopy in February 2019, a dubious residual lesion of the previously treated area was visible for which APC was applied again (ERBE ICC200, 60 Watt – cleaning of the debris – second hit with 60 Watt). No biopsies were taken during these endoscopies as LGD had been confirmed previously.

Figure 3: Endoscopic therapy. The BE island lesion was treated with argon plasma coagulation in 2018 (2x 40 Watt) and 2019 (2x 60 Watt) with cleaning of debris in between. During a first endoscopy in 2021 (a), a morphological change was seen and histology confirmed low-grade dysplasia with focal high-grade dysplasia. The lesion was resected en bloc by multi-band mucosectomy (b).
In March 2021, there was still a lesion visible at the area of interest which resembled Barrett’s epithelium of <1mm x 1mm, but now its morphology had changed. The lesion appeared to be slightly elevated with a loss of vascular pattern. Biopsies were obtained and showed deep tubulae under the overlaying neosquamous epithelium containing LGD and focal HGD.
In the subsequent endoscopy, the island lesion was moderately visible due to the previously taken biopsies, and reflux esophagitis grade B was present. The lesion of interest was resected en bloc by multi-band mucosectomy technique (Duette, Cook Inc, Limerick, Ireland). No complications occurred.
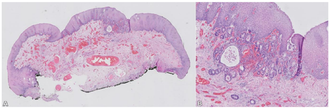
Histologic evaluation of the resection specimen showed an adenocarcinoma, well-differentiated with invasion in the muscularis mucosa (Figure 4). Deep and lateral resection margins were clear. In October 2021, six months after the endoscopic resection, there were no signs of local recurrence.

Figure 4: Histopathologic images of endoscopic resection specimen (H&E staining). An overview of the endoscopic resection specimen is shown in A. A detail of the radically resected pT1a m3 tubular adenocarcinoma without angioinvasion can be seen in B (orig. mag. x 5).
Discussion
High-quality studies evaluating durability of RFA treatment in early neoplastic BE have been published, but few report follow-up times surpassing a median of five years [2,9-15]. In this case report, we reported on a case in which recurrent neoplasia developed in the form of EAC 12 years after successful eradication of a dysplastic BE using RFA. We hereby demonstrate that very late neoplastic recurrences can still occur after successful endoscopic treatment.
Due to adequate inspection and extensive photo documentation throughout follow-up, we are certain to speak of a recurrent BE island rather than a remnant BE island. This implicates the recurrence possibly originated from buried metaplasia, a rare phenomenon after RFA that is characterized by the presence of metaplastic glands underneath the neosquamous epithelium [16].
The neoplastic recurrence in our case did not remain buried under the neosquamous epithelium, but presented itself as an endoscopic abnormality. This is in accordance with the results of a Dutch nationwide cohort study, in which all neoplastic recurrences were detected as visible lesions, without the need for random biopsies [2]. Therefore, minute endoscopic inspection by expertly trained endoscopists is advisable to detect subtle clinically relevant lesions.
It is of note that the BE island lesion was treated twice with APC without the underlying low-grade dysplasia dissolving. We hypothesize this might be due to thickening of the mucosal layers after RFA treatment, or the presence of dysplasia confined to the deeper part of the epithelium. Yet, even with suboptimal conditions due to reflux esophagitis and insufficient treatment with APC, treatment was endoscopically curative after up to four and a half years since establishment of the first endoscopic irregularity. This underlines the probable mild clinical course of recurrences after RFA.
In conclusion, the knowledge that recurrence of EAC is a possibility even after more than ten years of endoscopic treatment underpins the notion that long-term follow-up is necessary. Endoscopic follow-up with detailed inspection of the neosquamous mucosa is recommended even when multiple negative endoscopies have been performed. Performing treatment and post-treatment surveillance of neoplastic BE in expert centers could further improve outcomes due to concentration of available expertise.
Author Contributions
Louwers: conceptualization, investigation, project administration, resources, visualization, writing-original draft preparation
Beaufort: conceptualization, project administration, resources, visualization, writing-original draft preparation
Raicu: visualization, writing-review and editing
Weusten: conceptualization (lead), supervision, visualization, writing- review and editing
Ethical Statement
Written informed consent was obtained for the publication of patient information in the present manuscript.
References
- Blot WJ, Tarone RE (2018) Esophageal Cancer. In: Thun MJ, Linet MS, Cerhan JR, Haiman C, Schottenfeld D, et al. (Editors). Cancer Epidemiology and Prevention 579-592.
- van Munster S, Nieuwenhuis E, Weusten BLAM, Alvarez Herrero L, Bogte A, et al. (2021) Long-term outcomes after endoscopic treatment for Barrett’s neoplasia with radiofrequency ablation ± endoscopic resection: results from the national Dutch database in a 10-year Gut 71: 265-276.
- Weusten B, Bisschops R, Coron E, Dinis-Ribeiro M, Dumonceau J-M, et al. (2017) Endoscopic management of Barrett’s esophagus: European Society of Gastrointestinal Endoscopy (ESGE) Position Endoscopy 49: 191-198.
- Wani S, Qumseya B, Sultan S, Agrawal D, Chandrasekhara V, et al. (2018) Endoscopic eradication therapy for patients with Barrett’s esophagus-associated dysplasia and intramucosal cancer. Gastrointest Endosc 87: 907-931.e9.
- Fujii-Lau LL, Cinnor B, Shaheen N, Gaddam S, Komanduri S, et al. (2017) Recurrence of intestinal metaplasia and early neoplasia after endoscopic eradication therapy for Barrett’s esophagus: a systematic review and meta-analysis. Endosc Int Open 5: E430-E449.
- Krishnamoorthi R, Singh S, Ragunathan K, Katzka DA, Wang KK, et (2016) Risk of recurrence of Barrett’s esophagus after successful endoscopic therapy. Gastrointest Endosc 83: 1090-1106.e3.
- Sawas T, Iyer PG, Alsawas M, Cotton CC, Leggett CL, et al. (2018) Higher Rate of Barrett’s Detection in the First Year After Successful Endoscopic Therapy: Meta-analysis. Am J Gastroenterol 113: 959
- Sharma P, Dent J, Armstrong D, Bergman JJGHM, Gossner L, et al. (2006) The development and validation of an endoscopic grading system for Barrett’s esophagus: the Prague C & M criteria. Gastroenterology 131: 1392-1399.
- Phoa KN, Pouw RE, Bisschops R, Pech O, Ragunath K, et al. (2016) Multimodality endoscopic eradication for neoplastic Barrett oesophagus: results of an European multicentre study (EURO-II). Gut 65: 555-562.
- Cotton CC, Wolf WA, Overholt BF, Li N, Lightdale CJ, et al. (2017) Late recurrence of Barrett’s esophagus after complete eradication of intestinal metaplasia is rare: final report from ablation in intestinal metaplasia containing dysplasia trial. Gastroenterology 153: 681-688.
- Barret M, Pioche M, Terris B, Ponchon T, Cholet F, et al. (2021) Endoscopic radiofrequency ablation or surveillance in patients with Barrett’s oesophagus with confirmed low-grade dysplasia: a multicentre randomised trial. Gut 70: 1014-1022.
- Herrero LA, van Vilsteren FGI, Pouw RE, ten Kate FJW, Visser M, et al. (2011) Endoscopic radiofrequency ablation combined with endoscopic resection for early neoplasia in Barrett’s esophagus longer than 10 cm. Gastrointest Endosc 73: 682-690.
- Shaheen NJ, Overholt BF, Sampliner RE, Wolfsen HC, Wang KK, et (2011) Durability of radiofrequency ablation in Barrett’s esophagus with dysplasia. Gastroenterology 141: 460-468.
- Phoa KN, Pouw RE, van Vilsteren FGI, Sondermeijer CMT, Ten Kate FJW, et al. (2013) Remission of Barrett’s esophagus with early neoplasia 5 years after radiofrequency ablation with endoscopic resection: a Netherlands cohort study. Gastroenterology 145: 96-104.
- Pouw RE, Klaver E, Phoa KN, van Vilsteren FG, Weusten BL, et al. (2020) Radiofrequency ablation for low-grade dysplasia in Barrett’s esophagus: long-term outcome of a randomized trial. Gastrointest Endosc 92: 569-574.
- Gray NA, Odze RD, Spechler SJ (2011) Buried metaplasia after endoscopic ablation of Barrett’s esophagus: a systematic review. Am J Gastroenterol 106: 1899-1908.
© by the Authors & Gavin Publishers. This is an Open Access Journal Article Published Under Attribution-Share Alike CC BY-SA: Creative Commons Attribution-Share Alike 4.0 International License. Read More About Open Access Policy.