Endometrioid Carcinoma of the Fallopian Tube Associated with Obesity, Diabetes Mellitus and Arterial Hypertension. A Case Report and Review of the Literature
Rosalva Barra Martínez1*,Thania Jocelin Torres Maldonado2, Alfonso Torres Lobatón3, Myrna Doris Arrecillas Zamora4, Carla América Suárez Juárez5, Fernando Ulises Lara González6, Thania Castro Belio2
1Surgeon Oncologist, Master of Science, Head of Unit of Skin Cancer/Melanomas/Soft Tissue Sarcomas and Bone tumors, Oncology Unit Hospital General of México
2Gynecologic Oncology Resident Physician/Oncology Unit Hospital General of México
3Surgeon Oncologist, Technical consultant, Oncology Gynecology Unit, Hospital General of Mexico
4Oncologic pathologist, Pathology Unit, Hospital General of México.
5Gynecologic oncologist, Military Hospital of Specialties for Women and Neonatology, Hospital General of Mexico
6Surgeon Oncologist /Unit of Skin Cancer/Melanomas/Soft Tissue Sarcomas and Bone tumors, Hospital General of Mexico
*Corresponding author: Rosalva Barra Martínez, Surgeon Oncologist, Master of Science, Head of Unit of Skin Cancer/Melanomas/Soft Tissue Sarcomas and Bone tumors, Oncology Unit Hospital General of México
Received Date: 16 October 2022
Accepted Date: 19 October 2022
Published Date: 21 October 2022
Citation: Barra MR, Torres MT, Torres LA, Arrecillas ZM, Suárez JCA, et al. (2022) Endometrioid Carcinoma of the Fallopian Tube Associated with Obesity, Diabetes Mellitus and Arterial Hypertension. A Case Report and Review of the Literature. Ann Case Report. 7: 999. DOI: https://doi.org/10.29011/2574-7754.100999
Abstract
Primary cancer of the Fallopian tube is the least frequent lesion of the female reproductive system. It occurs sporadically and is the main source of serous and mucinous cancers of the ovary and peritoneum. The endometroid variety of tubal carcinoma located below the frequency of serous cancer with much lower figures. The neoplasm occurs predominantly in postmenopausal women, with a unilateral location and predominantly occupying the distal third of the fallopian tubes. Tubal carcinoma in situ has been linked to carcinoma in situ of the endometrium and invasive cancer to the presence of endometrial hyperplasia, endometriosis, and adenomyosis. Diagnosis usually occurs incidentally during laparotomy for ovarian pathology. A case of tubal carcinoma associated with obesity, diabetes mellitus and arterial hypertension is presented.
Keywords: Tubal Carcinoma; Obesity Diabetes; Hypertension
Case Presentation
79-year-old patient with a body mass index of 31 and a 10-year history of Type 2 Diabetes Mellitus, 8-year-old arterial hypertension and 4-year-old chronic renal failure treated medically. 3 Pregnancies, 1 normal delivery and 2 misbirth and menopause at 45 years. Painful lower abdominal symptoms of 6 months of evolution and radiological diagnosis of ovarian tumor with a Ca 125 marker of 11 Units. With a diagnosis of benign ovarian tumor, a laparotomy was performed which showed a 15x12 cm right ovarian tumor with a cystic component and a 14x5 cm right hydrosalpinx. Total hysterectomy plus bilateral salpingoophorectomy was performed with a report of ovarian cystadenoma and endometroid adenocarcinoma of the right Fallopian tube in its distal third, Stage IAG1. The patient has been kept under surveillance and to date she has been 36 months without evidence of tumor activity.
Introduction: Primary cancer of the Fallopian tube is a neoplasm that has traditionally been considered a disease of sporadic presentation, with a frequency among malignant neoplasms of the female reproductive system of 0.11% to 1.8% [1, 2, 3, 4, 5], and an annual incidence of 3.6% per million women in the USA [2].
Recent studies of molecular, genetic and histopathological nature [1,6,7,8,] have documented that the majority of primary cancers of the ovary and peritoneum develop from the fallopian tube as adenocarcinomas of Müllerian origin, Therefore, the recent classification of the International Federation of Gynecology and Obstetrics (FIGO) included them as a separate entity [8]. It is estimated that these 3 entities represent 2.5% of new cancers in the USA with figures of more than 22,000 cases per year. Likewise, the numbers of cancer of the Fallopian tube, which had been underestimated, increased 4.19 times from 2001 to 2014 [6].
Most of the reported cases correspond to serous carcinomas [6.2, 6-11] and the predominant location occurs in the fimbria [6, 8, 11]. Endometrioid carcinoma ranks second with much less frequency [7, 9, 10]. It has been published that up to 39% of ovarian cancers can occur simultaneously with carcinomas in the salpinges. Of this number, 80% are serous carcinomas, 33.3% endometrioid, 21% mucinous, 20% clear cell, and 10% borderline [7, 9].
We present the case of a patient with endometrioid carcinoma of the Fallopian tube as an incidental finding of a surgical intervention for ovarian tumor. The macroscopic and microscopic images of the case are shown and a review of the literature is made.
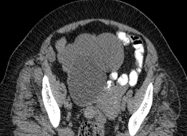
Report Case: 79-year-old patient with a body mass index of 31 and a 10-year history of Type 2 Diabetes Mellitus, 8-year-old arterial hypertension and 4-year-old chronic renal failure treated medically. 3 Pregnancies, 1 normal delivery and 2 misbirth, and menopause at 45 years. The patient was treated for intermittent abdominal pain of 6 months evolution, and simple computed tomography showed 3 rounded, well-defined, hypo dense, homogeneous images in the right annex without calcifications or septa inside. 7.7 x 8.1 x 7.3 cm, 5.8 x 5.2 x 4.5 cm and 3.5 x 3.3 x 3.8 cm, diagnosed as benign ovarian tumor, (Figures 1, 2). Tumor markers, Ca 125 of 11 U, ACE 2.7 ng, Hb 11.5 g, glucose 97 mg, urea 87.9 mg, creatinine 1.6 mg and albumin 3.5 g. Rest of normal biochemical parameters.

Figure 1: A plain CT scan of the abdomen and pelvis showed 3 rounded, well-defined, hypodense, homogeneous images in the right annex without calcifications or septa inside. 7.7 x 8.1 x 7.3 cm, 5.8 x 5.2 x 4.5 cm and 3.5 x 3.3 x 3.8 cm, diagnosed as benign ovarian tumor.

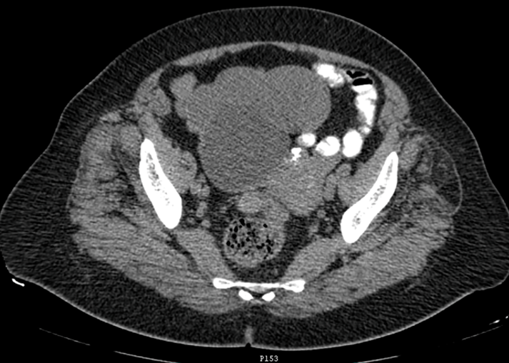
Figure 2: The upper part of the image shows a 14x5 cm lesion corresponding to the right uterine tube. The image was included and interpreted as a benign right adnexal tumor.
Diagnosed with a benign right adnexal tumor, a laparotomy was performed that revealed a 15x12 cm right ovarian tumor with a cystic component and a 14x5 cm right hydro salpinx with chocolate-like content through its wall (Figure 3). Total hysterectomy plus bilateral salpingo-oophorectomy was performed with a report of ovarian cystadenoma and endometroid adenocarcinoma of the right Fallopian tube. It showed dilation and the section revealed a nodular lesion, in its distal third, with a papillomatous appearance, white-yellowish, of a soft, sessile consistency, with endophytic growth of 2x1.5x.2cm (Figures 4, 5). The microscopic study showed a neoplasm of epithelial origin with a glandular, cribriform, papillary and even solid growth pattern that did not infiltrate the underlying capsule, (Figures 6, 7, 8).
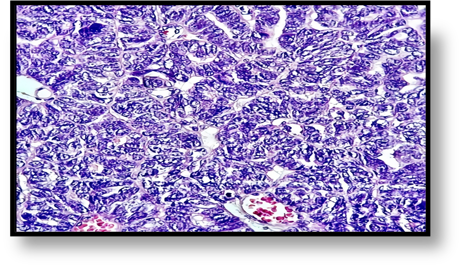
(Figures 9, 10) show cellular details of the Endometrioid Adenocarcinoma: Papillary formations and less differentiated solid areas. Cells are medium to small, with scant cytoplasm, moderate atypia, granular chromatin, irregular nuclei, nuclear moulding and few mitotic figures. The uterus reported some fibroids from 1.5 to 3 cm and the contralateral annex without alterations.

Figure 3: The external surface of Fallopian tube is shown with shiny serosa, evident blood vessels and dilatation of the entire organ.

Figure 4: Macroscopic cut image. It showed dilation and the section revealed a nodular lesion, in its distal third, with a papillomatous appearance, white-yellowish, of a soft, sessile consistency, with endophytic growth of 2x1.5x.2cm.

Figure 5: Macroscopic section photograph of the mural nodule, solid, yellowish-white, adherent to the internal wall of the uterine tube corresponding to an Endometrioid Adenocarcinoma.

Figure 6: Photomontage microphotographs of nodular lesion corresponding to Endometrioid adenocarcinoma of the uterine tube.

Figure 7: Photomicrograph 5x. Endometrioid adenocarcinoma showing papillary formations with glands and neoplastic cribriform formations.

Figure 8: 10x microphotography. Endometrioid adenocarcinoma showing capsule of origin and solid and cribriform pattern.

Figure 9: Show cellular details of the Endometrioid Adenocarcinoma: Papillary formations and less differentiated solid areas. Cells are medium to small, with scant cytoplasm, moderate atypia, granular chromatin, irregular nuclei, nuclear moulding and few mitotic figures.

Figure 10: Microphotography 400x. Cellular detail of Endometrioid Adenocarcinoma. Papillary formations. Better differentiated areas. Cells are medium to small, with scant cytoplasm, mild atypia, granular chromatin, more regular nuclei, scant nuclear molding, few mitosis figures.
With a report of endometroid-type adenocarcinoma without invasion of the capsule, FIGO Stage IAG1 [8] and comorbidity of renal failure, it was decided to keep the patient under surveillance, leading to date 36 months of follow-up without evidence of tumor activity.
Discussion: Primary cancer of Fallopian tube is the least common lesion of the female reproductive system, it occurs sporadically and is the main source of serous and mucinous tumors of the ovary and peritoneum originating from the so-called "Muller's primary system" [5,6,7,9].
Although endometrioid cancer ranks second among cancers of Fallopian tube, few publications refer to this histological subtype [9-12]. This neoplasm occurs predominantly in postmenopausal women, who present with the clinical picture of pain, pelvic tumor, metrorrhagia and leukorrhea as common manifestations of the disease [2, 6, 10]. In the Series of Navani SS.et al [12], most of the 26 reported cases presented symptoms related to a pelvic mass. The lesions were unilateral, and their diagnosis usually occurred incidentally during a laparotomy for ovarian pathology [9, 12, 13].
Our patient was 79 years old, was obesity, type II diabetes mellitus and arterial hypertension, a history closely linked to endometrial cancer [14], and not referred to in the published cases with this diagnosis in the consulted bibliography. The only clinical manifestation was pain attributable to the inflammatory process of the colon, which due to persistence led to imaging studies that led to the diagnosis of the cause of the pain. The imaging studies of the present case suggested a benign ovarian tumor and the tumor marker Ca 125 showed normal figures.
It has been published that the imaging study that offers the best results for the diagnosis of cancer of Fallopian tube is magnetic resonance imaging [15], a procedure not performed in our patient for not having this resource available prior to surgery.
Endometrioid carcinoma in situ of Fallopian tube has been linked to carcinoma in situ of the endometrium [11] and invasive cancer has been associated with the presence of endometrial hyperplasia [12], endometriosis [6, 9,16], and adenomyosis [17]. The present case could have been related to hormonal overstimulation, associated with obesity and type II diabetes [14].
Whereas the common location of serous cancers of the uterine tube is in the fimbria [4, 8], for endometroid type, the most frequent location is in the distal two-thirds of the organ [10, 12], as was the case here reported. In the series of 26 cases of endometroid carcinoma of the salpinge published by Novani SS et al, only 2 (8.0%) were located in the fimbria [12]. This location has been reported in 2 more cases of the consulted bibliography [10, 13].
The microscopic description of this neoplasm is characterized by showing an architecture that varies between glandular, papillary and solid formation with cells showing endometrioid differentiation [7, 10, 13]. In our case, the microscopic study showed a nodular endometrioid carcinoma with papillary formations, a solid, cribriform pattern and with few mitoses, characteristics that correspond to endometrial endometrioid carcinoma [2.8].
The treatment of choice for cancer of the Fallopian tubes is surgical and must include what is established to specify the clinical-surgical classification of the disease. Includes the performance of a cytological study of the content of ascites or instillation of physiological solution in the pouch of Douglas, total hysterectomy with bilateral salpingo-oophorectomy, pelvic lymphadenectomy and para-aortic lymphadenectomy or para-aortic lymph node sampling plus omentectomy and resection of intraperitoneal and visceral tumor implants [2, 16].
Conservative treatment such as the one performed on our patient is usually indicated only for Stage IAG1 for patients who wish to preserve fertility. The patient had controlled chronic renal failure, so the surgical staging indicated for this disease was not completed [2, 16].
The prognosis of the disease is closely linked to the clinical stage in which the diagnosis is made [5, 6, 8, 9]. In the series by Novanni et al [12], 69% of their 26 cases had early stages and had had a good prognosis, as did the 9 patients referred to in the publication by Wenbin H [10], and those published by Varga J [13], and Wenbin H [10]. This evolution is similar to that of early endometrioid carcinomas of the endometrium [12, 14]. The one in this communication was diagnosed in Stage IAG1 and at the time of publication, the patient has been followed up for 36 months without evidence of disease.
Conflict of interest: The authors state that there was no conflict of interest for the realization of this publication.
References
- Wang Yuuao, Bian Y, Wiu F, Fang P (2019) Fallopian tube serous adenocarcinoma with dizzines as the initial symptom: a case report. Journal International MedicalResearch; 48: 300060519871744.
- Philip J. DiSaia, William T. Creasman, Robert S. Manuel, D. Scott McMeekin, David G. Mutch (2017) In: Clinical Gynecologic Oncology. (Ninth ed.).
- Li M, Yang K, Wang P (2019) Hepatoid adenocarcinoma of fallopian tube A case report and review of the literature. Medicine; 98: p e14534.
- Gupta KA, Vazquez AO (2020) Fallopian Tube Tumor Mimicking Primary Gastrointestinal Malignancy. Cureus; 12: e9795.
- Hycriavenko N, Lyndin M, Sikora K, Piddubnyi A, Karpenko L, et al. (2019) Serous Adenocarcinoma of Fallopian Tubes: Histological and Immunohistochemical Aspects. J of Pathol and Translat Med; 53: 236-243.
- Zhang B, Liu Renwang, Li Tong, Chen F, Huo H, et al. (2020) Anterior mediastinal metastasis of primary fallopian tube adenocarcinoma: a case report. Journal of Cardiothoracic Surgery; 15: 77.
- Cobb PL, Gaillard S, Yihong Wang Y, Ming SI, Secord AA (2015) Adenocarcinoma of Mullerian origin: review of pathogenesis, molecular biology, and emerging treatment paradigms. Gynecologic Oncology Research and Practice; 2: 1.
- Berek J, Renz M, Kehoe S, Kumar L, Friedlander M (2021) Cancer of the ovary, fallopian tube and peritoneum:2021 update. International Journal of Gynecology& Obstetrics, 155: 61-85.
- Karpathiou G, Chauleur C, Venet M, Clemenson A, Peoch M (2020) Pathology of the Fallopian Tube: Tubal Involvement by Ovarian Tumors and Incidental Findings in the Nontumor Setting. Pathobiology; 87: 37-44.
- Wenbin H, Youcai Z, Jianhua Z, Yue H, Jinsong W, Qi Zhang (2010) Endometroid carcinoma of the fall in tube resembling an adnexal tumor of probable wolffian origin: A case report and review of the literature. Pathology- Research and Practice; 206: 180-184.
- Hecht LJ, Lin ID, Garret L (2020) Endometrial Tubal Intraepithelial Neoplasia (E-TIN) Of the Fallopian Tube: A Case Series. Int J Gynecol Pathol; 39: 552-557.
- Navani SS, Alvarado CI, Young HR, Scully ER (1966) Endometroid Carcinoma of the Fallopian Tube: A Clinicopathologic Analysis of 26 Cases. Gynecol Oncol; 63: 371-378.
- Varga J, Švajdler R, Dankovčík M, Rabajdová F, Gmitter A (2016) Incidental tubal endometrioid adenocarcinoma - case report. Eur. J. Gynaecol. Oncol. 37: 873: 875.
- Torres LA, Barra MR, Jiménez APE, Oliva PJC, Suárez JCA, Morgan OF (2020) Obesity and Endometrial Cancer: Increase in Frequency over a Period of 44 Years. J Gynecol and Obstet; 8: 161-165.
- Xiaomin M, Huang X, Chen Ch, Ding Y (2018) A preliminary Report Requiring Continuation of Research to Confirm Fallopian Tube Adenocarcinoma: A Non-Experimental, Non-Randomized, Cross-Sectional Study. Clinical Research; 24: 5301-5308.
- Berek SJ (2020) Ovarian, Fallopian Tube and Peritoneal cancer. In Berek & Novak´s Gynecology. Sixteen Edit. Philadelphia USA. 2576-2591.
© by the Authors & Gavin Publishers. This is an Open Access Journal Article Published Under Attribution-Share Alike CC BY-SA: Creative Commons Attribution-Share Alike 4.0 International License. Read More About Open Access Policy.