Conservative Management of Incarcerated Gravid Uterus
by Maryam M Y Mohammad*
Department of Obstetrics and Gynecology, Maternity Hospital, Kuwait
*Corresponding author: Maryam Mohammad, Kuwait Institute for Medical Specialization (KIMS) -Ministry of Health in Kuwait
Received Date: 23 June 2024
Accepted Date: 29 June 2023
Published Date: 02 July 2023
Citation: Maryam Mohammad (2023) Conservative Management of Incarcerated Gravid Uterus. Gynecol Obstet Open Acc 7: 203. DOI: https://doi.org/10.29011/2577-2236.100203
Abstract
An incarcerated uterus is a rare obstetric complication, with a reported incidence of 1 in 3000 pregnancies. It occurs when the uterine fundus remains entrapped below the sacral promontory after he first trimester of pregnancy. We report a case of a 28-year-old multiparous woman presented at 14 weeks of gestation with urinary retention which was found to be secondary to an incarcerated uterus and the clinical course of her condition.
Introduction
An incarcerated uterus is a rare obstetric complication, with a reported incidence of 1 in 3000 to 10,000 pregnancies. It occurs when the uterine fundus remains entrapped below the sacral promontory after he first trimester of pregnancy. In this case report we report a case of a 28-year-old multiparous woman presented at 12 weeks of gestation who presented with acute urinary tract retention which was found to be secondary to an incarcerated uterus and the course of her condition.
Case Presentation
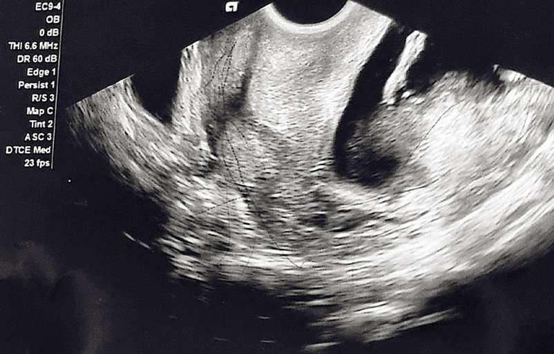
28-year-old female G7P3+0+3+3 12+4 weeks of gestation previously healthy with no known medical or surgical history presented to the outpatient department for her regular antenatal follow up. During her first visit she mentioned that she is having difficulties in passing urine. Baseline investigations including complete blood count (CBC), renal function test (RFT), urine routine and culture were done to look for urinary tract infection which was ruled out. However, the patient was given an ultrasound appointment to look for any underlying urinary tract pathology along with urology outpatient clinical referral. However, patient came after few days with worsening symptoms leading to complete urinary retention thus the patient admitted to the hospital and Foleys catheter was inserted. Our differential diagnosis was the following: Urinary tract infection, Urinary tract obstruction attributed to a urological cause i.e. nephrolithiasis or attributed to a gynecological cause i.e. large uterine fibroid. During hospital stay urine culture was repeated which came back with no growth. An Ultrasound was done by an obstetrician which revealed an acutely retroverted uterus with a fetus matching gestational age calculated from the first day of her last menstrual period (LMP) as shown in Figure 1 and 2.
In addition, an abdominal ultrasound done to rule out to any urinary tract obstruction which was normal as shown in Figure 3-5. She was seen by the urology team and advised to keep the urinary catheter until her symptoms improve if not then to keep the Foleys until delivery. The patient was managed conservatively by serial bimanual examinations and an ultrasound was done on a weekly basis until patient condition spontaneously resolved at 13+2 weeks of gestation as shown in Figure 6.
Bladder training was done prior removing Foleys catheter. Patient was kept for 24 hours in the hospital to ensure that she is able to pass urine on her own. Second day post Foleys catheter removal the patient was discharged and given and follow up outpatient appointment after 4 weeks. The patient was seen after 4 weeks from her hospital discharge. She reported complete improvement in her symptoms. She was at that time 18 weeks, anomaly scan done and was normal then she was managed and given next appointment as per the hospital protocol. Patient was admitted when she was 40 weeks of gestation as she was in labor. She delivered alive baby girl weighting 3 Kg APGAR score 8 and 9 via normal vaginal delivery with no complications.

Figure 1: Transvaginal ultrasound revealing an acutely retroverted uterus with a picture of uterine incarceration

Figure 2: Transvaginal ultrasound revealing an acutely retroverted incarcerated uterus with a viable fetus matching 12 weeks of gestation
In addition, an abdominal ultrasound done to rule out to any urinary tract obstruction which was normal as shown in Figure 3-5. She was seen by the urology team and advised to keep the urinary catheter until her symptoms improve if not then to keep the Foleys until delivery. The patient was managed conservatively by serial bimanual examinations and an ultrasound was done on a weekly basis until patient condition spontaneously resolved at 13+2 weeks of gestation as shown in Figure 6.
Bladder training was done prior removing Foleys catheter. Patient was kept for 24 hours in the hospital to ensure that she is able to pass urine on her own. Second day post Foleys catheter removal the patient was discharged and given and follow up outpatient appointment after 4 weeks. The patient was seen after 4 weeks from her hospital discharge. She reported complete improvement in her symptoms. She was at that time 18 weeks, anomaly scan done and was normal then she was managed and given next appointment as per the hospital protocol. Patient was admitted when she was 40 weeks of gestation as she was in labor. She delivered alive baby girl weighting 3 Kg APGAR score 8 and 9 via normal vaginal delivery with no complications.

Figure 3: Normal right kidney

Figure 4: Normal left kidney

Figure 5: Normal urinary bladder with Foleys catheter balloon showing

Figure 6: Anteverted uterus with a viable fetus matching with 13 weeks of gestation
Discussion
An incarcerated uterus is a rare complication linked mainly to the obstetric population, with a reported incidence of 1 in 3000 to 10,000 pregnancies [1]. It occurs when the uterine fundus remains entrapped below the sacral promontory after he first trimester of pregnancy [1]. Risk factors for developing this condition include: A retroverted uterus which is present in around 15% of pregnant patients [2], history of prior uterine incarceration, uterine anomalies, multifetal gestation, deep sacral concavity with a prominent sacral promontory and pelvic adhesions either due to previous infective process or pervious surgeries [1]. Uterine incarceration can occur in patients without any risk factors including nongravid patients [1][3].
Signs and symptoms of an incarcerated uterus are related to pressure effect on adjacent organs. For example, Pelvic pain and urinary retention are the most common presenting symptoms. Backward pressure on the rectum may manifest in constipation or worsening of constipation if it was preexisting. The diagnosis of an incarcerated gravid uterus is based on history, physical examination and ultrasound findings. In case if diagnosis is uncertain a magnetic resonance imaging (MRI) can be used with either T1 or T2 weighted images [1].
Complications associated with an incarcerated uterus include the following: Spontaneous abortion, Preterm labor, Pre-labor rupture of membranes, Oligohydramnios, Intrauterine growth restriction due to the pressure of the gravid uterus against adjacent blood vessels in turn affecting the blood flow to the placenta and fetus [3], Uterine dystocia, Uterine rupture and in case of delivery by cesarean section an accidental transection of the bladder, cervix or the vagina can be done in cases of unrecognized incarceration of the uterus [1]. In addition, patients with uterine incarceration have higher rates for the development of postpartum hemorrhage (PPH) [4].
The management of an incarcerated uterus can include either conservative management as most of cases resolve spontaneously or via surgical management. Conservative management include either expectant management along with serial follow ups. A trial of knee-chest position done few times a day to restore the normal position of the retracted uterus after emptying the bladder [3]. Manual reduction either in an outpatient setting with the option of inserting a Hodge vaginal ring pessary (Shown in figure 7) to prevent the reincarceration of the uterus [1][5]. In a case report, a combination of an intravaginal balloon filled with 300 mL of saline and manual cephalad pressure on the balloon liberated an incarcerated uterus at 14 weeks gestation with the use of real-time ultrasound imaging during the procedure to make adjustments to the balloon’s position and volume if needed [6]. In patients who have low tolerance to pain or in which reduction in an outpatient setting is difficult then the patient gets admitted for manual reduction under analgesia. In severe cases, manual reduction may be done by inflation of the rectum through a colonoscopy or flexible sigmoidoscopy and finally as a last resort laparoscopy or laparotomy [1][3]. In cases if a large myoma is present a myomectomy can be considered as this was reported in a case report of a 29-year-old primigravida who discovered that she had sub serosal myoma measuring 7 cm incidentally during her first antenatal care visit which grew tremendously reaching 20x15 cm in size leading to sever symptoms of lower abdominal pain and constipation. A decision of myomectomy was done during the second trimester and the patient reached term and delivered via normal vaginal delivery with good outcome [7]. Post reduction care includes the following: serial physical examination and ultrasound to ensure proper placement of the uterus into its anatomical position and placement of a vaginal pessary for 5-7 days to ensure that the uterus stays in its upright position [1]. Due to the pathophysiology of an incarcerated uterus and its contribution to venous stasis in the pelvis prophylactic low molecular weight heparin in the antepartum period should be a considered [3][8].
In cases if uterine incarceration progress toward the third trimester of pregnancy then delivery via cesarean section is indicated due to the higher risk of obstructed labor and uterine rupture [1][4]. The need for preoperative ultrasound imaging along with MRI to reach the accurate diagnosis before cesarean section is crucial in order for the surgeon to be aware of the spatial relationship between the uterine incision and other organs to avoid complications [45]. Vertical supraumbilical skin incision is preferred over a low vertical or Pfannenstiel incision which can be extended caudally after entering the peritoneal cavity, if needed, to allow adequate exposure of the distorted anatomy [1]. It is important to note that the uterus should not be incised before the anatomic landmarks are restored to normal, if possible, by manual mobilization of the uterus from the pelvic cavity or the use of an assistant who exerts upward pressure on the uterus transvaginally [1]. Postoperative care should include optimization of any concurrent medical issues for example: gestational diabetes or pregnancy induced hypertension (PIH), wound care, and thromboprophylaxis.

Figure 7: Hodge Pessary (Photo Credits: Artisan Medical Devices)
Conclusions
In conclusion, incarcerated gravid uterus is a rare complication that can affect the obstetrical and gynecological population. The most common reported symptoms are lower abdominal pain and difficulty in passing urine or urinary retention. It is important to include this diagnosis in female patients presenting with such symptoms due to the complications associated with it such as acute retention, renal failure, labor dystocia and complications associated with performing emergency cesarean section in undiagnosed patients. Finally, its crucial to know available options for management and in case of persistent gravid uterus incarceration reaching the third trimester delivery should be by cesarean section not forgetting the importance to perform imaging in the form of an ultrasound or MRI to provide spatial relationship between the uterine incision and other organs in order to optimize the clinical outcome in their patients.
Declarations
· Ethics approval and consent to participate
-Consent was taken from the patient and she was informed that data will be displayed in a manner insuring her confidentiality
· Consent for publication
-Consent was taken from the patient and she was informed that data will be displayed in a manner insuring her confidentiality
· Availability of data and materials
-All data and materials are available upon request
· Competing interests
-None
· Funding
-None
· Authors' contributions in this paper
- Conceived and designed the analysis
- Collected the data
- Contributed data or analysis tools
- Performed the analysis
- Wrote the paper
· Acknowledgements
-None
· Authors' affiliation
- Kuwait Institute for Medical Specialization (KIMS), Ministry of Health in Kuwait (MOH)
· Authors' information
- Dr. Maryam Mefarreh Yousef Mohammad
- Royal College of Surgeons in Ireland – Medical University of Bahrain (RCSI-MUB) 2019 Alumni
- Bachelor of Medicine, Bachelor of Surgery degree and Bachelor of the Art of Obstetrics (MB, BCh, BAO)
- Currently a Resident in Kuwait Board of Obstetrics and Gynecology (KBOG)
- Currently working in Maternity Hospital in Kuwait
- Email Address: Dr.maryam.mohammad@gmail.com
- Phone Number: 00965-98758300
References
- C Vidaeff A. Incarcerated gravid uterus [Internet]. J Lockwood C, editor. UpToDate. UpToDate; 2022 [cited 2023 Nov]. Available from: https://pro.uptodatefree.ir/show/6747
- Fahimuddin FZ, Murphy R, O’Shaughnessy M (2019) surgical management of an incarcerated uterus in a gynecological patient: A case report. Case Reports in Women’s Health 14:23. 3. Young Sun Kim, Byung Su Kwon, Young Joo Lee (2021) Clinical approach and management of uterine incarceration according to trimester of pregnancy: Case report and literature review. Taiwanese Journal of Obstetrics & Gynecology 60: 911-5.
- Samejima K, Matsunaga S, Takai Y, Baba K, Seki H, et al. (2021) Efficacy of well-planned management in patients with incarcerated gravid uterus: A case series and literature review. Taiwanese Journal of Obstetrics & Gynecology 60: 679-84.
- Abelman SH, Jayakumaran JS, Sigdel M, Baxter JK (2022) Incarcerated Gravid Uterus Liberated by Placement of a Vaginal Balloon. Obstetrics & Gynecology 140: 898-900. 6. Sweigart AN, Matteucci MJ (2008) Fever, sacral pain, and pregnancy: an incarcerated uterus. The western journal of emergency medicine 9: 232-4.
- Kim SC, Lee YJ, Jeong JE, Joo JK, Lee KS (2016) Incarceration of gravid uterus by growing subserosal myoma: case report. Clinical and Experimental Obstetrics & Gynecology 43: 131-3.
- Maneesh N Singh, Jayashri Payappagoudar, Jenny Lo (2007) Incarcerated retroverted uterus in the third trimester complicated by postpartum pulmonary embolism. Obstetrics & Gynecology Journal 109: 498-501.
© by the Authors & Gavin Publishers. This is an Open Access Journal Article Published Under Attribution-Share Alike CC BY-SA: Creative Commons Attribution-Share Alike 4.0 International License. Read More About Open Access Policy.